首页
产品中心
病理IHC整体解决方案
一抗
二抗及辅助试剂
全自动免疫组化仪
分子原料及解决方案
服务中心
资料下载
技术支持
关于我们
公司概况
新闻动态
人才服务
联系我们
免费试用
中文
|
English
中文
|
English
中文
|
English
联系方式
广州市黄埔区神舟路 18 号润慧科技园5栋(自编号C-3)1402房
020-89858157
mianyi@myabtech.com
一抗
首页
-
产品中心
-
一抗
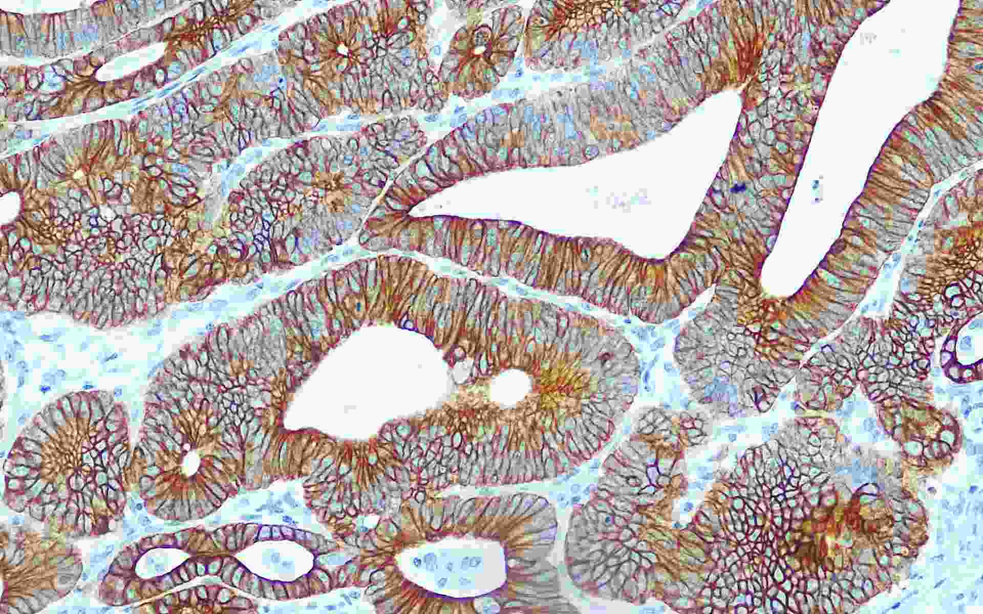
Cytokeratin 19
目录号 :
MY030
克隆号 :
MyM1-CK19
种属 :
鼠单克隆抗体
染色定位 :
细胞质
阳性对照 :
结直肠癌/甲状腺乳头状癌
包装规格 :
工作液:3mL/6mL、浓缩液:0.2mL/1mL
适用平台 :
基础平台,Myab平台
产品说明书
产品详情:
CK19分子量为40kDa,存在于正常上皮细胞,特别是单层上皮细胞和间皮,但肝细胞不表达CK19。该抗体主要用于协助腺癌的鉴定以及转移性腺癌和肝癌的鉴别,还可用于鉴定甲状腺乳头状癌。
产品图片详情:
Cytokeratin 19甲状腺癌
Cytokeratin 19结直肠癌
评论记录:
发表评论:
提交评论
回复评论:
×
产品分类
病理IHC整体解决方案
一抗
二抗及辅助试剂
全自动免疫组化仪
分子原料及解决方案
相关产品
P16
MLH1
PMS2
Ki-67
产品标签
评论记录:
发表评论: