一抗

CD3

  • 目录号 : MY017
  • 克隆号 : MyR1-CD3
  • 种属 : 兔单克隆抗体
  • 染色定位 : 细胞膜
  • 阳性对照 : 扁桃体/阑尾
  • 包装规格 : 工作液:3mL/6mL、浓缩液:0.2mL/1mL
  • 适用平台 : 基础平台,Myab平台

产品详情:

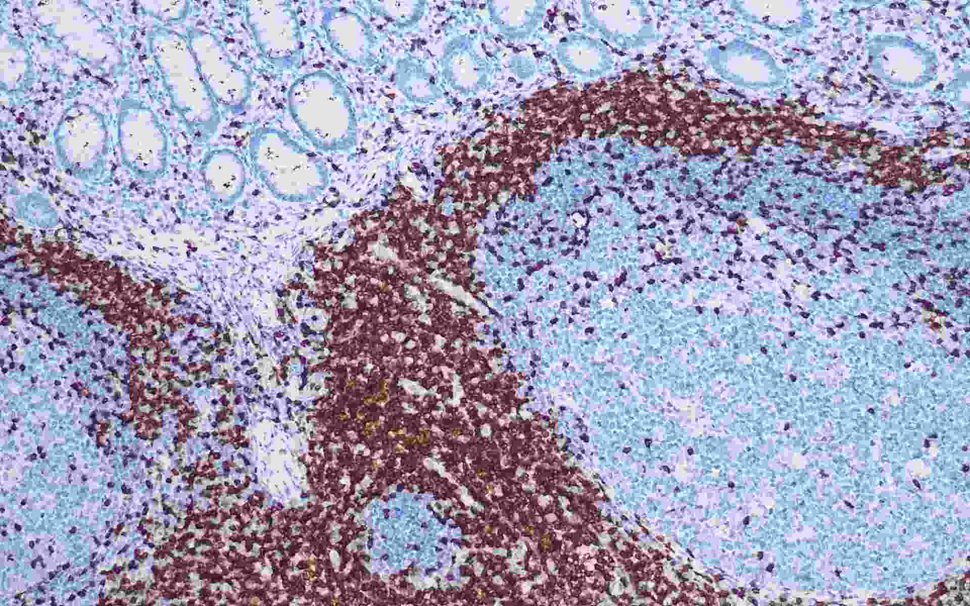
CD3是由4个结构不同的膜糖蛋白异构体组成,表达于所有T细胞表面,是目前认为最能代表T细胞的标记抗体。 CD3可与由α/β或γ/δ组成的异源二聚体(TCR)形成复合受体分子,是T细胞识别抗原的主要单位,具有稳定TCR结构和传递活化信号的作用。CD3是T细胞和NK细胞的标记物,常用于此类淋巴瘤的分类。在小脑的浦肯野氏细胞有微弱表达,在B淋巴细胞、巨噬细胞、髓细胞或者其他细胞不表达。

产品图片详情:

  • CD3阑尾(T细胞)

评论记录:

发表评论: