一抗

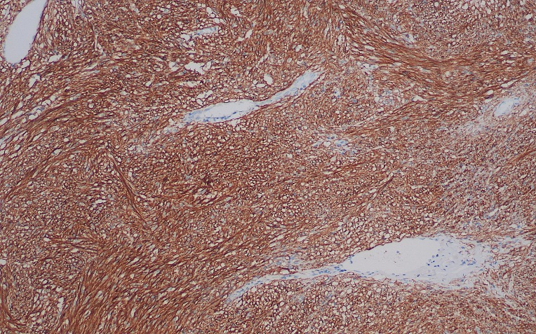
DOG1

  • 目录号 : MY009
  • 克隆号 : MyR1-DOG1
  • 种属 : 兔单克隆抗体
  • 染色定位 : 细胞膜/细胞质
  • 阳性对照 : 胃肠道间质瘤/阑尾
  • 包装规格 : 工作液:3mL/6mL、浓缩液:0.2mL/1mL
  • 适用平台 : 基础平台,Myab平台

产品详情:

DOG1基因位于染色体11q13,是一种钙离子调节相关的氯离子通道蛋白。在胃肠道间质瘤(GIST)中显示出高特异性及敏感性。在c-Kit为阴性的GIST中(4-15%),绝大部分存在Dog1的表达,常与CD117联合使用。

产品图片详情:

  • DOG1胃肠道间质瘤

评论记录:

发表评论: