一抗

PLK-1

  • 目录号 : MY216
  • 克隆号 : MyM1-PLK1
  • 种属 : 鼠单克隆抗体
  • 染色定位 : 细胞核/细胞质
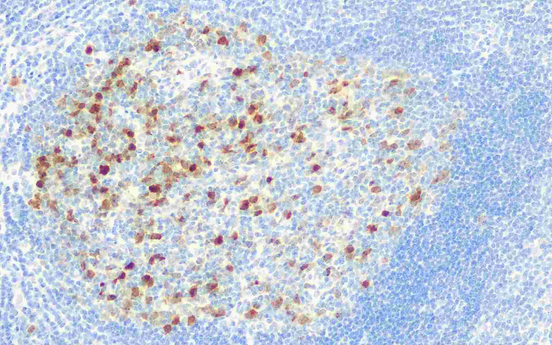
  • 阳性对照 : 阑尾
  • 包装规格 : 工作液:3mL/6mL、浓缩液:0.2mL/1mL
  • 适用平台 : 基础平台,Myab平台

产品详情:

Polo 样激酶-1(PLK1,也称为丝氨酸/苏氨酸蛋白激酶 13)是一种 66kDa 激酶。PLK-1 的活性对于有丝分裂是至关重要的,维持基因组的稳定。PLK-1 位
于中心体和着丝粒,其在晚期和前中期发挥关键作用。PLK-1 在许多类型的癌症
中过表达,并介导乳腺癌细胞中雌激素受体介导的基因转录。PLK-1 的过度表达
与肿瘤发展有关,在非小细胞肺癌、头颈部、胃癌、乳腺癌、卵巢癌、结肠癌
和其他数种癌症类型中的表达水平升高。

产品图片详情:

  • PLK-1阑尾

评论记录:

发表评论: