一抗

IDH-1

  • 目录号 : MY191
  • 克隆号 : MyM1-IDH1
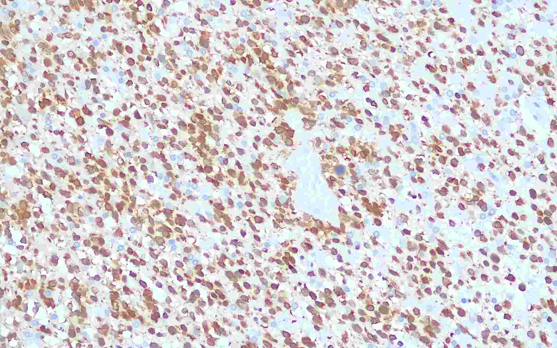
  • 种属 : 鼠单克隆抗体
  • 染色定位 : 细胞质
  • 阳性对照 : 脑胶质瘤
  • 包装规格 : 工作液:3mL/6mL、浓缩液:0.2mL/1mL
  • 适用平台 : 基础平台,Myab平台

产品详情:

IDH1 基因突变具有体细胞特异性,只在胶质瘤的某些亚型中发生,可作为
胶质瘤基因亚分型的依据。在大约 70%的星形胶质细胞瘤和少突神经胶质细胞瘤
可发现 IDH1 基因的R132H点突变。成人胶质瘤中,发病年轻的病人一般存在 IDH1
突变,且预后较好。

产品图片详情:

  • IDH-脑胶质瘤

评论记录:

发表评论: