一抗

CD5

  • 目录号 : MY176
  • 克隆号 : MyR1-CD5
  • 种属 : 兔单克隆抗体
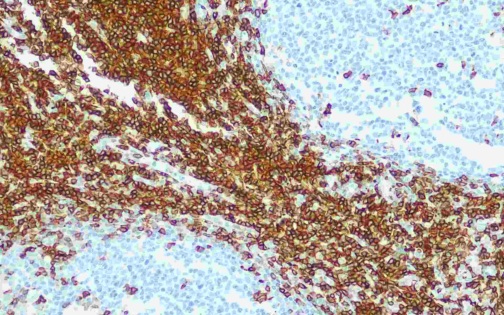
  • 染色定位 : 细胞膜
  • 阳性对照 : 扁桃体
  • 包装规格 : 工作液:3mL/6mL、浓缩液:0.2mL/1mL
  • 适用平台 : 基础平台,Myab平台

产品详情:

CD5主要分布在大多数的T细胞及胸腺细胞(95%)。CD5可用于标记多数T细胞淋巴瘤和一些B细胞淋巴瘤,如B细胞慢性淋巴细胞白血病(B-CLL)、B细胞小淋巴细胞淋巴瘤(B-SLL)和套细胞淋巴瘤,但CD5不标记粒细胞和单核细胞。

产品图片详情:

  • CD5扁桃体

评论记录:

发表评论: