一抗

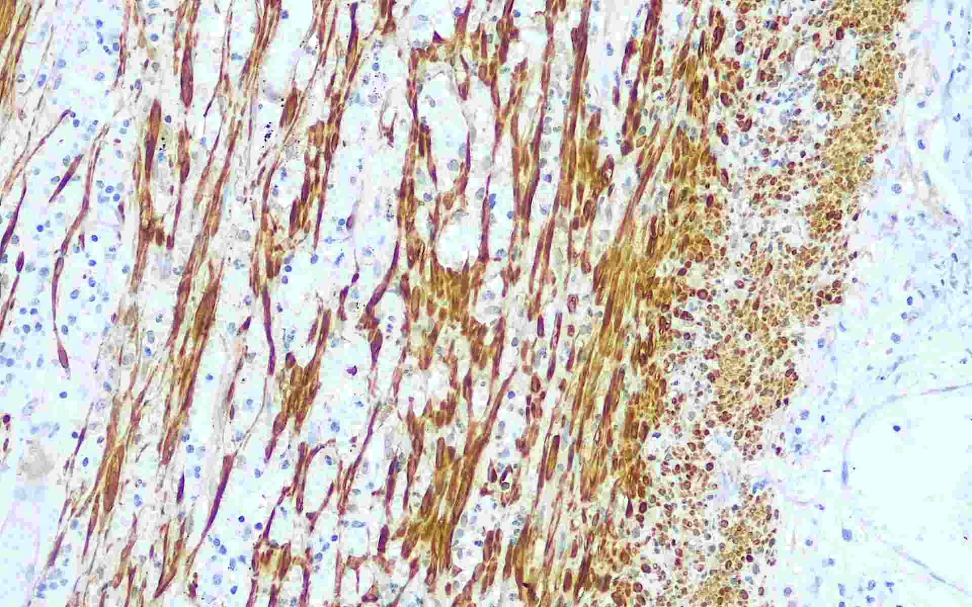
Calponin-1

  • 目录号 : MY155
  • 克隆号 : MyR1-CALP
  • 种属 : 兔单克隆抗体
  • 染色定位 : 细胞质
  • 阳性对照 : 阑尾
  • 包装规格 : 工作液:3mL/6mL、浓缩液:0.2mL/1mL
  • 适用平台 : 基础平台,Myab平台

产品详情:

Calponin-1是一种结合肌动蛋白,原肌球蛋白钙调蛋白,分子量为34kDa,是平滑肌细胞的一种特异性蛋白,具有调节平滑肌收缩的功能。Calponin-1标记平滑肌组织以及乳腺病变时的肌上皮细胞,可用于平滑肌肿瘤和乳腺病变中肌上皮细胞分布的研究。

产品图片详情:

  • CALP阑尾

评论记录:

发表评论: