一抗

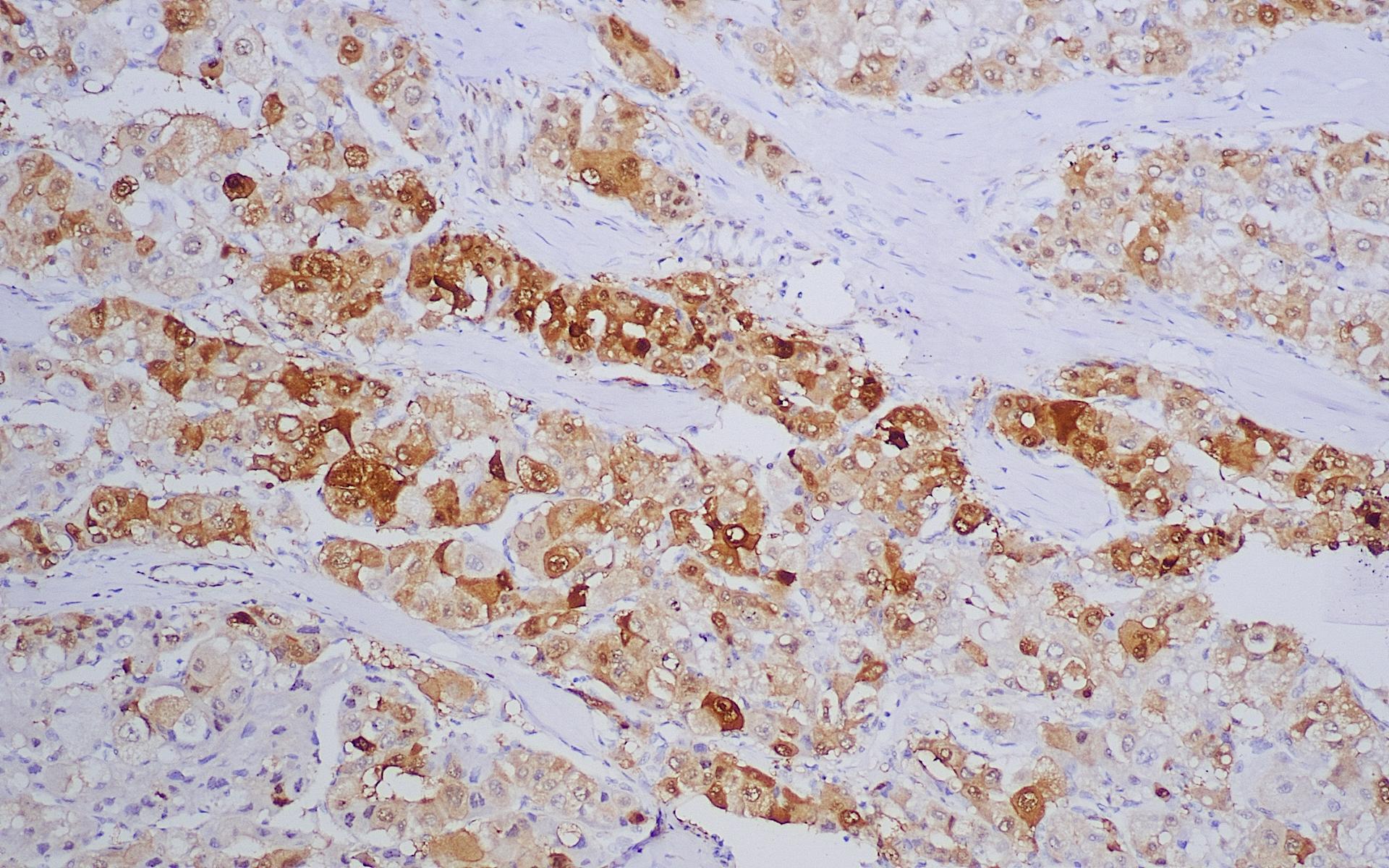
HSP70

  • 目录号 : MY125
  • 克隆号 : MyR1-HSP70
  • 种属 : 兔单克隆抗体
  • 染色定位 : 细胞质/细胞核
  • 阳性对照 : 肝细胞肝癌
  • 包装规格 : 工作液:3mL/6mL、浓缩液:0.2mL/1mL
  • 适用平台 : 基础平台,Myab平台

产品详情:

热休克蛋白(Heat Shock Protein)是细胞受应激原刺激后诱导产生的一组应激蛋白,按其分子量不同可分为3种,每组HSPs的分布及功能有所不同。机体细胞在热休克或受到其它外来刺激时诱导HSP的产生,在许多肿瘤中呈高表达,与肿瘤的发生、增殖与分化有关。HSP70在肿瘤中的过表达意味着预后不良及耐药,并常与GPC3和GS联合用于肝细胞癌的研究。

产品图片详情:

  • HSP70肝癌

评论记录:

发表评论: