一抗

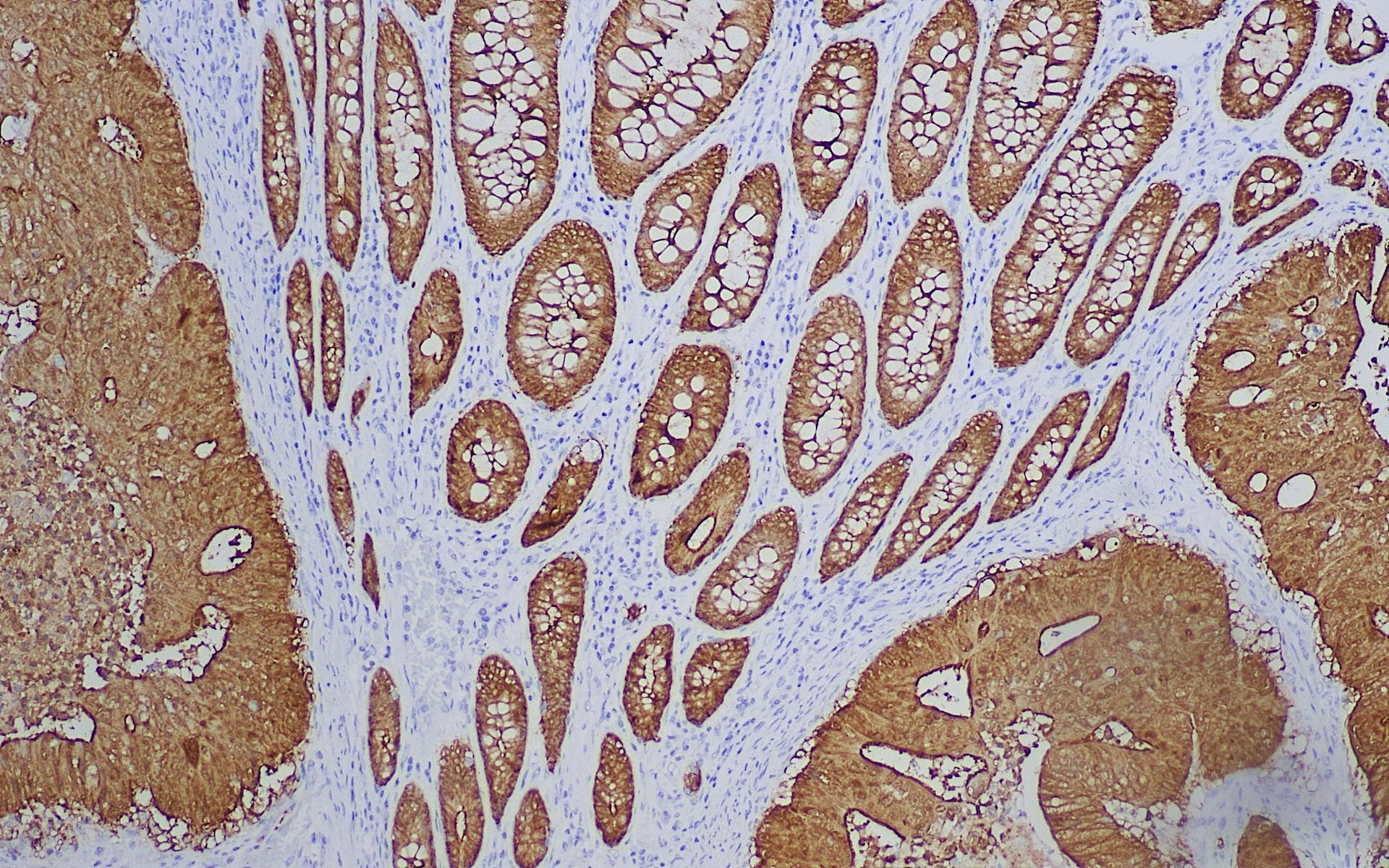
Villin

  • 目录号 : MY118
  • 克隆号 : MyR1-Villin
  • 种属 : 兔单克隆抗体
  • 染色定位 : 细胞质/细胞膜
  • 阳性对照 : 结直肠
  • 包装规格 : 工作液:3mL/6mL、浓缩液:0.2mL/1mL
  • 适用平台 : 基础平台,Myab平台

产品详情:

Villin是与刷状缘微绒毛的微丝束有关的一种胃肠道相关性细胞骨架蛋白。正常组织中,Villin通常只表达于有刷状缘的细胞上,如胃肠道上皮细胞、胰腺和胆管上皮细胞以及肾实质的上皮细胞中(特别是近曲小管)。Villin作为肠道特异性参考依据,与CDX2联合应用,可用于肠上皮来源肿瘤与非肠上皮肿瘤的研究。Villin 也可作为胃肠道神经内分泌肿瘤研究的参考指标。

产品图片详情:

  • Villin结直肠

评论记录:

发表评论: