一抗

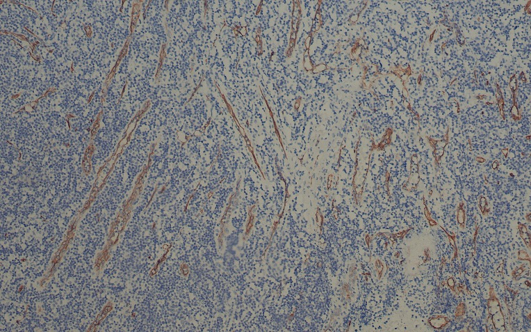
CD34

  • 目录号 : MY107
  • 克隆号 : MyR1-CD34
  • 种属 : 兔单克隆抗体
  • 染色定位 : 细胞膜
  • 阳性对照 : 扁桃体
  • 包装规格 : 工作液:3mL/6mL、浓缩液:0.2mL/1mL
  • 适用平台 : 基础平台,Myab平台

产品详情:

CD34是一种分子量为110kDa的单链膜糖蛋白,选择性的表达于人体造血髓系干细胞、淋巴系细胞、血管内皮细胞和部分急性白血病。在血管内皮细胞的表达中增生活跃的内皮细胞表达高于非增生期的内皮细胞。该抗体可用于良/恶性血管源性肿瘤的研究。

产品图片详情:

  • CD34扁桃体

评论记录:

发表评论: