一抗

LEF-1

  • 目录号 : MY100
  • 克隆号 : MyR1-LEF1
  • 种属 : 兔单克隆抗体
  • 染色定位 : 细胞核
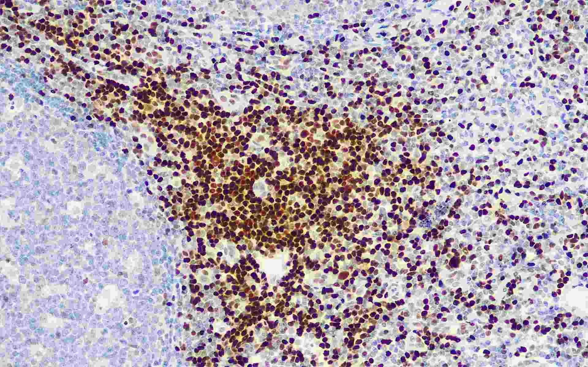
  • 阳性对照 : 扁桃体
  • 包装规格 : 工作液:3mL/6mL、浓缩液:0.2mL/1mL
  • 适用平台 : 基础平台,Myab平台

产品详情:

LEF-1(Lymphoid Enhancer-binding Factor 1):淋巴细胞增强结合因子1,作为Wnt/β-catenin信号通路中关键转录因子,调控细胞增殖及存活。LEF-1在淋巴细胞增殖中起重要作用,正常表达于T细胞及前B细胞,不表达于成熟B细胞。LEF-1是慢性淋巴细胞白血病/小淋巴细胞淋巴瘤(CLL/SLL)新的标志物,但并不是特异性的淋巴细胞标志物,可用于研究CLL/SLL(尤其是在CD5阴性和CD23判读困难时),还有助于发现骨髓中CLL的微小浸润。

产品图片详情:

  • LEF-1扁桃体

评论记录:

发表评论: