一抗

CD35

  • 目录号 : MY079
  • 克隆号 : MyR1-CD35
  • 种属 : 兔单克隆抗体
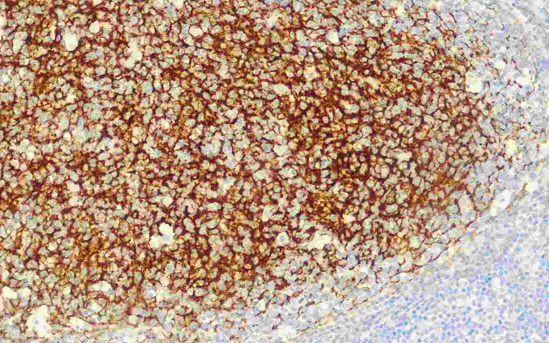
  • 染色定位 : 细胞膜
  • 阳性对照 : 扁桃体
  • 包装规格 : 工作液:3mL/6mL、浓缩液:0.2mL/1mL
  • 适用平台 : 基础平台,Myab平台

产品详情:

CD35是一种分子量为160-250kDa的跨膜蛋白,可与补体C3b和C4b结合,故又称补体受体1。CD35可作为成熟B细胞的标记物,在红细胞、B细胞、T细胞亚群、单核细胞、嗜酸粒细胞和中性粒细胞中表达。主要用于滤泡树突状细胞及其来源的肿瘤的研究。

产品图片详情:

  • CD35扁桃体

评论记录:

发表评论: